invis is
the first step towards their best smile.
Based on years of research and development, the Invisalign Palatal Expander System delivers a revolutionary approach to skeletal expansion.
Introducing the Invisalign® Palatal Expander System
An innovative solution offering a revolutionary clinically effective approach to expansion. Designed with you and your patients in mind, it eliminates the need for turning screws1 , making treatment more comfortable.2
Clinically effective treatment1: Invisalign Palatal Expander treatment delivers mid-palatine suture expansion.3
A simple, digital workflow: Easily integrated into your practice workflow using an iTero intraoral scanner.
Fewer emergency visits: No metal means no broken wires, and fewer unplanned visits.2
A positive patient experience4: Invisalign Palatal Expanders are removable, which makes it easier to maintain oral hygiene and without the added discomfort, difficulty, and stress of metal and daily screw-turning.


Discover the benefits of interceptive treatment with the Invisalign Palatal Expander System.
Custom 3D printed
Each expander is 3D printed to fit each patient's unique dentition and surrounding anatomy and optimised for comfort.3
A simple, digital workflow
Easily integrated into your practice workflow after a simple iTero™ scan.
Maintain oral hygiene
They're easy to change out. Most children can do it on their own, and they can remove them to brush their palatal expander and their teeth to help promote oral hygiene.
Custom 3D printed
Each expander is 3D printed to fit each patient's unique dentition and surrounding anatomy and optimised for comfort.3
A simple, digital workflow
Easily integrated into your practice workflow after a simple iTero™ scan.
Maintain oral hygiene
They're easy to change out. Most children can do it on their own, and they can remove them to brush their palatal expander and their teeth to help promote oral hygiene.
State-of-the-art design of the Invisalign Palatal Expander.5
Smooth lingual surface for patient comfort.
Palatal coverage with thickness customised to fit each patient.
Removal handle feature for ease of insertion and removal.


Redefine the chairside experience for your patients and team.
Simplify your expander delivery and removal appointments with the Invisalign Palatal Expander System.
Invisalign Palatal Expander System insertion
Invisalign Palatal Expanders are easy to insert. Most children can do it on their own. Invisalign Palatal Expanders are also easy to remove, for ease of oral hygiene.


Intercept a developing problem early.
The Invisalign Palatal Expander clinical scope at a glance.
With the Invisalign Palatal Expander System, patients experience less pain and anxiety7 due to the absence of metal or screws to turn. They can conveniently remove the expander for brushing, promoting better oral hygiene6 and compliance throughout treatment8.
Smooth lingual surface for patient comfort.
Palatal coverage with thickness customized to fit each patient
Removal handle feature intended to facilitate insertion and removal.




Unlock the power of simplicity.
Deliver a tailored treatment for progressive expansion with a simplified workflow.
Indication for treatment
Step 1: Custom 3D-printed expanders and holders are created for each patient based on their unique anatomy, following a simple iTero scan.
Step 2: Patients progress through a series of removable expanders, each of which provides small 0.25mm increments of expansion.
Step 3: Once the desired expansion is achieved, Invisalign Palatal holders are replaced every 2-4 weeks to stabilize the palate.
Note: The expanders and holders are kept in place using attachments1 2 that are bonded to the patient's teeth to help retain the appliance securely in place.




Transition seamlessly to Invisalign First™ treatment.
Combined with Invisalign First™ clear aligners, the Invisalign Palatal Expander System provides doctors with a full early intervention treatment solution, including both skeletal (orthopedic) and dental (orthodontic) arch expansion. Learn more about Phase I treatment with Invisalign First aligners.




See the transformative impact of Invisalign® Palatal Expander System
Invisalign Palatal Expander System featured case studies
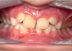
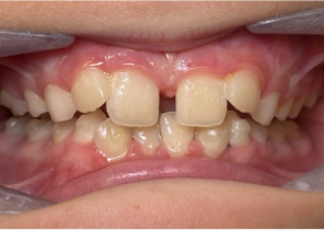
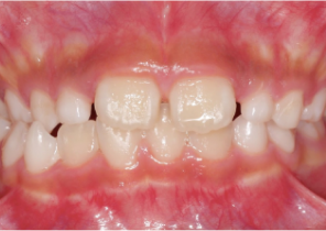
Case Report 2
7 years 11 months old, 24 stages of Invisalign® Palatal Expanders


Courtesy of Dr. David R. Boschken


Post Invisalign Palatal Expander Expansion


Post Invisalign Palatal Expander Treatment


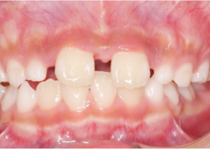
Courtesy of Dr. David R. Boschken


Post Invisalign Palatal Expander Expansion


Post Invisalign Palatal Expander Treatment
Frequently Asked Questions
For additional questions or the complete FAQ guide, please reach out to your Invisalign Practice Development Manager.
1. What is the Invisalign® Palatal Expander System?
The Invisalign Palatal® Expander (IPE) System is Align’s first direct 3D printed (additive manufactured) orthodontic device to address skeletal expansion in growing patients. It consists of a series of doctor-prescribed, removable Invisalign Palatal Expanders and Invisalign Palatal Holders.
2. What is IPE made from?
Invisalign Palatal Expanders and Invisalign Palatal Holders are made from polyamide-12, a polymer also known as nylon 12, a type of nylon.
3. How many mm/day expansion? Can I control the expansion to be less per stage?
After stage 0 (passive), each stage is programmed for active expansion, at 0.25 mm of movement per stage.
Expanders can be replaced daily for rapid expansion or changed less frequently (e.g. 2 or 3 days), or at the doctor's discretion, based on patient’s biological response.
4. What is dental case applicability for IPE?
Dental case applicability must be followed:
3 stable teeth per quadrant on the upper arch
At least 4 mm crown height
First permanent molars (6s)
First primary molars (Ds) or first premolar (4s)
Second primary molars (Es) or second premolar (5s)
Second permanent molars (7s) may be erupted, but the device will not cover them
Canines (Cs/3s) may be erupted, but the IPE will not cover them
Might not be applicable:
Short clinical crowns: Lack of device retention or difficulty in attachment bonding may occur on teeth with short clinical crowns (< 4mm) or unstable upper first permanent molars, upper second primary molars, and upper first primary molars.
Dental restorations: Insufficient device retention, excessive force on dental restorations, and/or difficulty in attachment bonding may occur on teeth with stainless steel crowns or other types of dental restorations. Patients with stainless steel crowns might be eligible for treatment per doctors discretion (note that the Invisalign First Palatal Expander device will cover these teeth)
Patients with palatal conditions: Exostosis or cleft palate
Not applicable for treatment: missing teeth under the IPE (i.e., D/4’s, E/5’s, and 6’s) primary dentition only (i.e., 6’s not erupted yet)
5. How many stages? Are they shipped all at once? Is it 1 of each stage or 2 that is shipped?
A series of Invisalign Palatal Expanders is shipped, consisting of 1 device per stage of treatment.
The number of stages is determined by the Doctor based on the clinical goals:
The number of expander stages are determined based on the desired amount of expansion as specified in the Rx form: each stage is programmed to 0.25mm/day, the max amount of expansion that can be ordered is 12mm. The doctor can stop the expansion at any time based on clinical observation/preference and order Invisalign Palatal Holders. Invisalign Palatal Holders need to be ordered separately in the prescription form.
The number of holding stages is also determined by the doctor based on the holding duration time period (in weeks). Invisalign Palatal Holders are a copy of the last stage of the expander intended to stabilize the palate after the active expansion, replaced every 2-4 weeks.
Expanders and holders are shipped separately. Holders are manufactured after the desired active expansion is reached and the doctor has specified in the Rx form at what stage to start a holding phase.
6. What is the thickness of each stage? Is it the same for each stage?
Thickness of the device is customized based on each patient’s unique anatomy. The thickness of the palatal region is also custom manufactured for comfort.
7. Does the IPE create equal force/pressure for every stage? Or does the force/pressure vary?
The device is targeted to apply the same or similar transverse force for every stage of the treatment, but that force may vary based on patient anatomy.
8. Do the patients have to remove IPE to eat? If they can eat with IPE, any foods/drinks to avoid?
Patients do not have to remove the devices for eating or drinking. However, it is recommended to rinse the mouth thoroughly after each meal.
Caution: Chewing hard, sticky or sugary food (including chewing gum) may damage the device and/or the patient’s teeth and should be avoided. Drinking sugary or acidic drinks may damage the patient’s teeth and should be avoided.
Patients should brush and floss their teeth before inserting the device. If they don’t have access to a toothbrush, they can simply rinse their mouth, and clean their devices by holding them running water.
Patients should not throw away the original bags as they will be used to store the used devices.
Note: Doctors should evaluate whether a particular patient should remove the device while eating (consider the patient’s age and ability to remove and reinsert the device) and should advise patients and supervising adults to follow proper oral hygiene and the use and care instructions. Doctors should refer patients to Patient Use and Care Instructions. A hard copy can be requested through Invisalign Doctor Site “Support tab”
9. What scanners can I use?
While the Invisalign Palatal Expander System is compatible with all iTero-branded intraoral scanners, we recommend the iTero Lumina scanner as the optimal scanner to use for submitting Invisalign Palatal Expander scans due to its smaller size wand, allowing easier scans for smaller mouths. Please check the iTero website or contact customer support for a list of scanners available in your market.
10. What attachment material can I use?
Please leverage the IPE quick start guide for a list of recommended bonding agents and composites for use with the Invisalign Palatal Expander System based on shear bond testing performed by Align Technology. Link to the guide.
11. What teeth are the attachments bonded to?
6s and Es (alternatively, if 5s have erupted sufficiently, then they will have attachments)
12. What is the tooth coverage for IPE/how many teeth are covered with IPE?
3 teeth (Ds, Es, 6s) are covered, but attachments are bonded on 2 teeth





